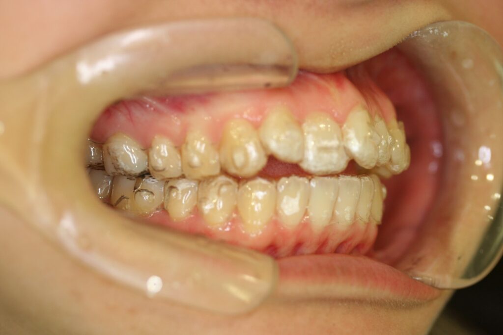
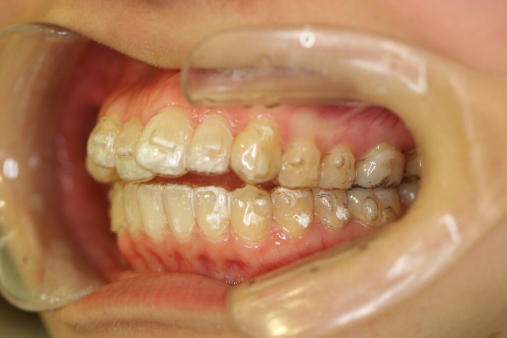
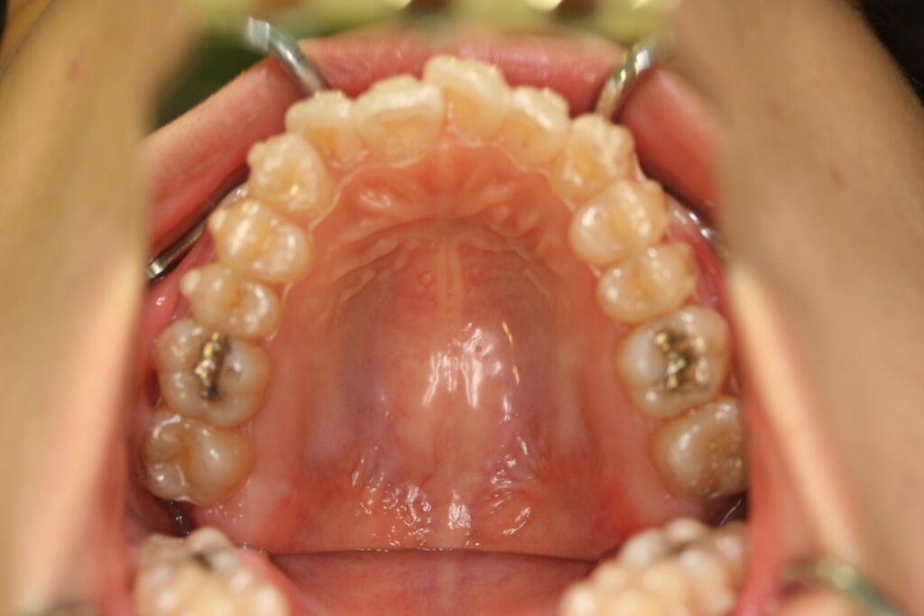
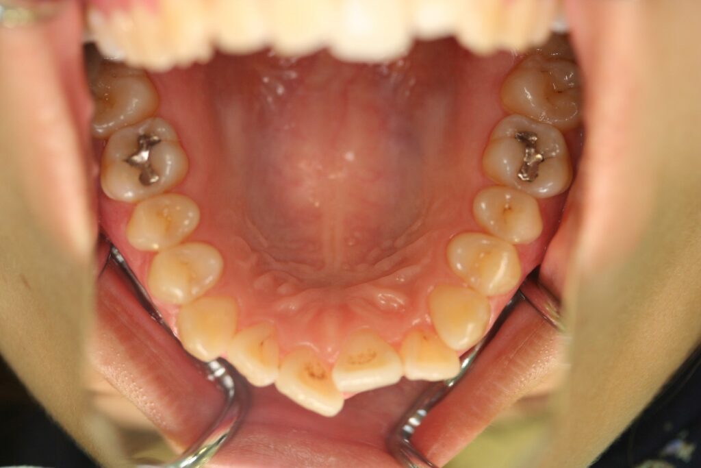
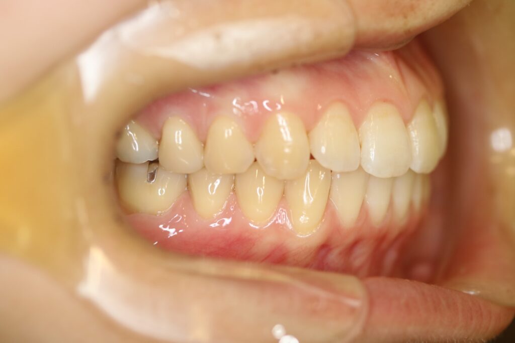
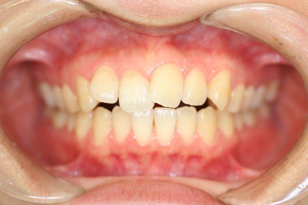
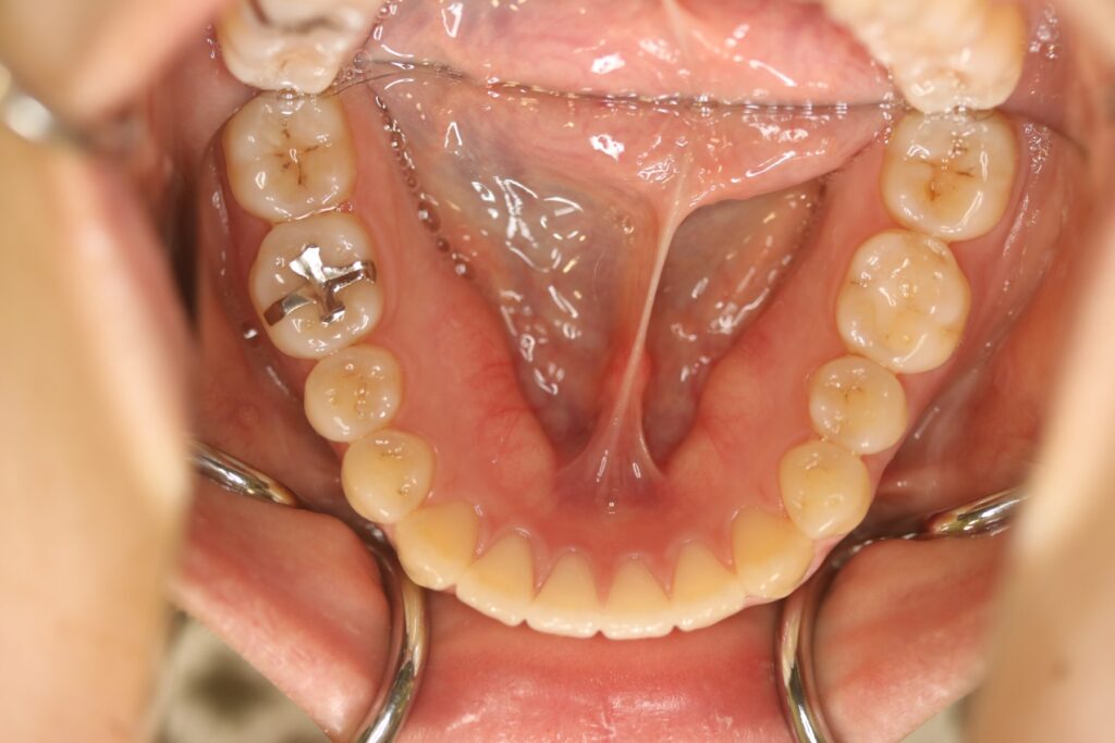
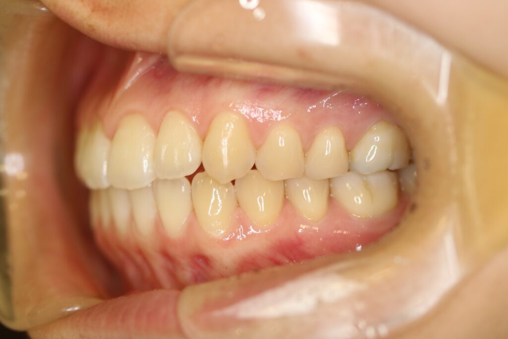
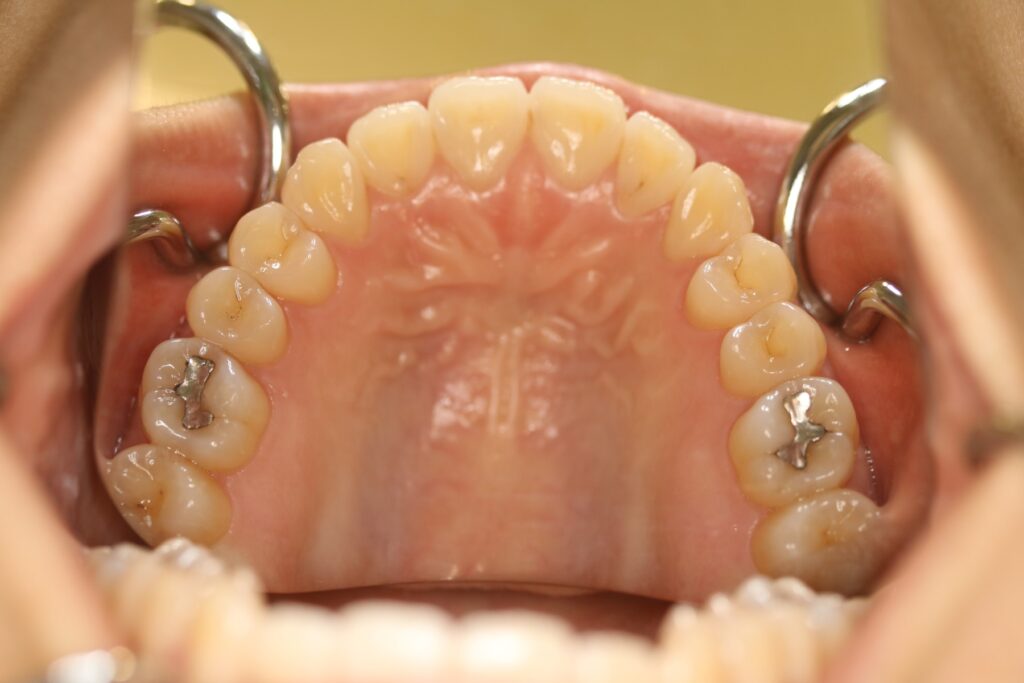
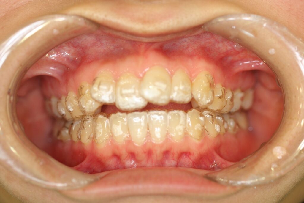
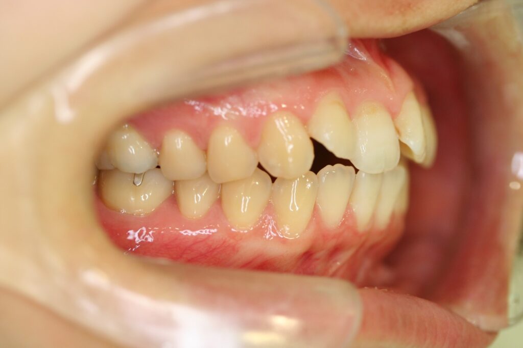
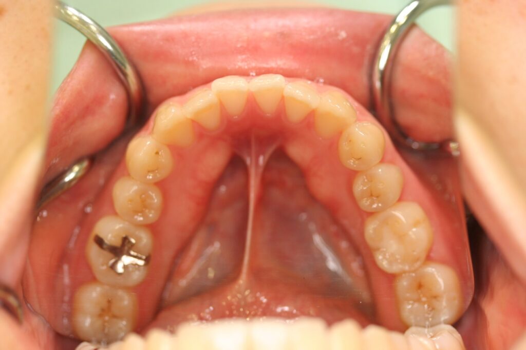
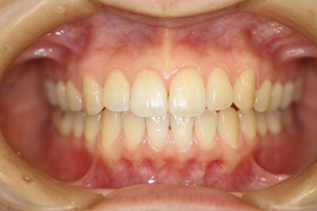
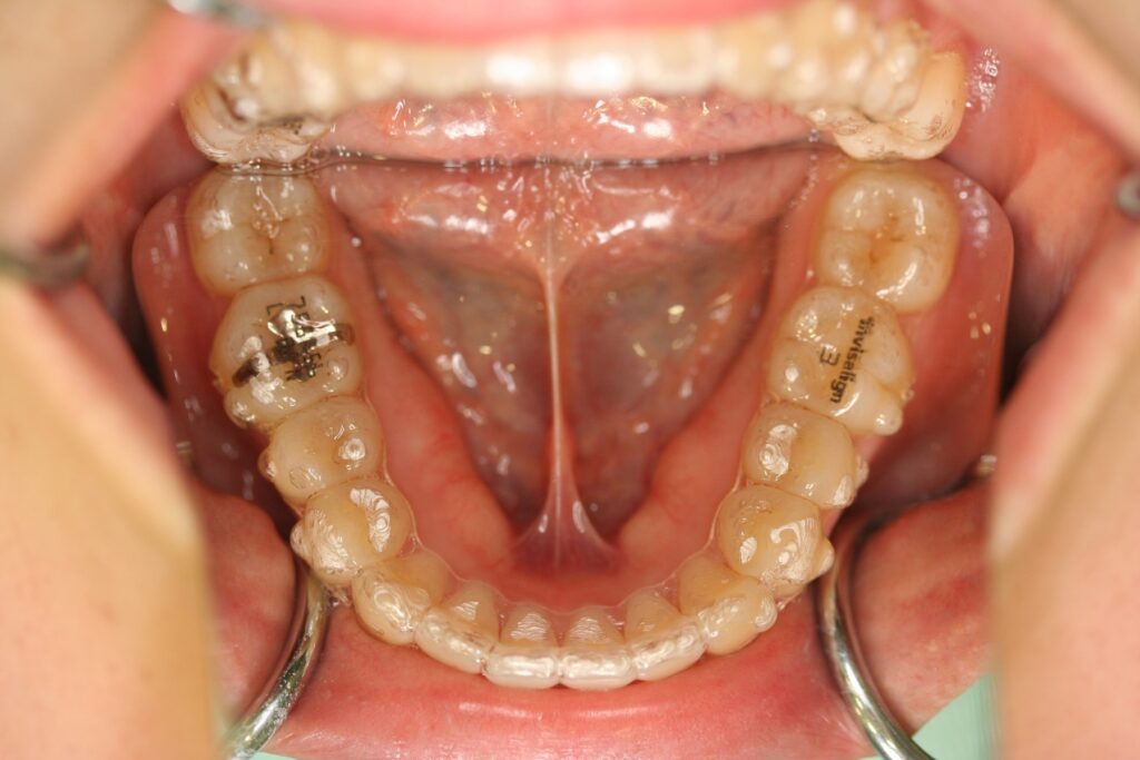
治療実績(症例) アライナー矯正 症例1 上顎前突症例 症例2 上下顎前突症例 症例3 叢生 症例4 開咬 症例5 開咬(外科的矯正治療) アライナー矯正 Post Share Hatena Line RSS feedly Pin it note 1.主訴2.診断名3.初診時年齢4.治療に用いた主な装置とオプション5.抜歯部位6.治療期間・通院回数7.総額と費用内訳総額相談検査・診断料調整料4,000円8.リスク・副作用 治療前 治療中 治療後