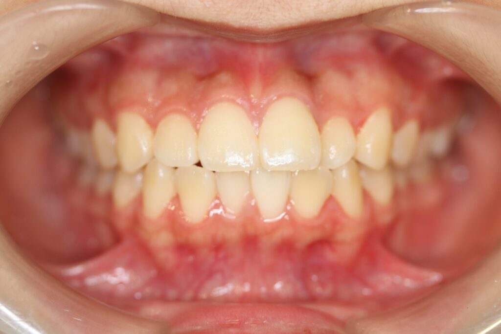
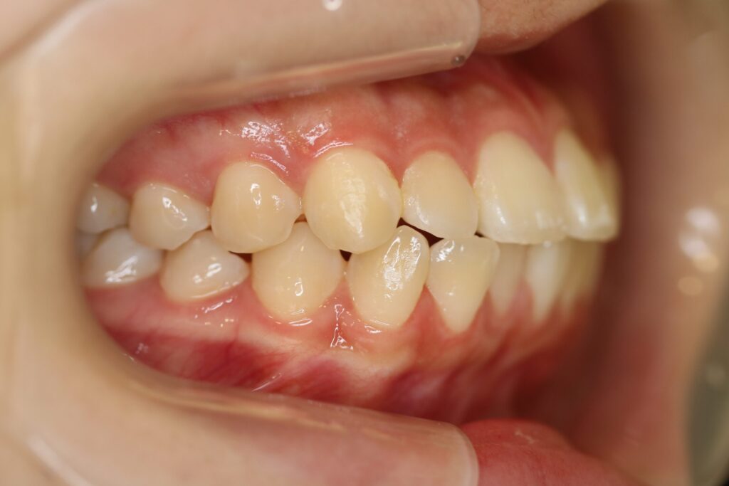
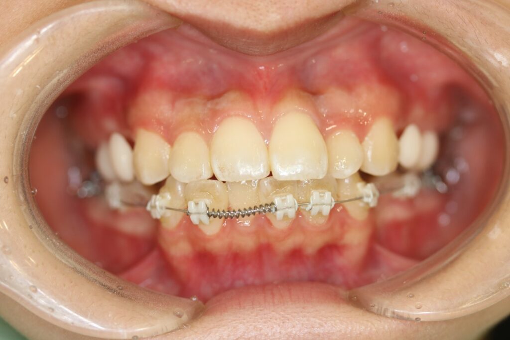
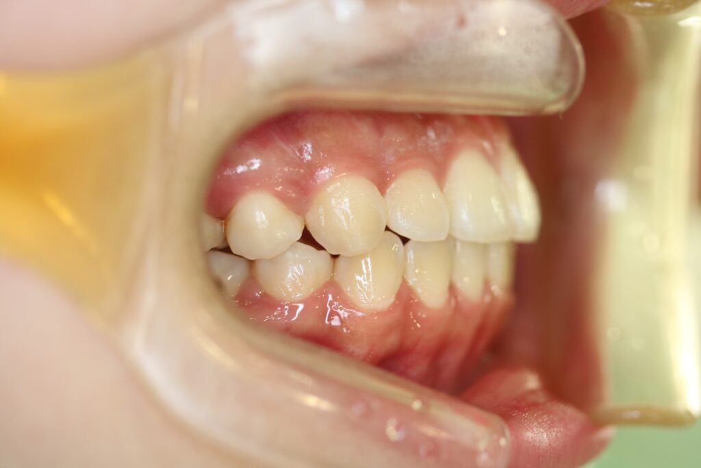
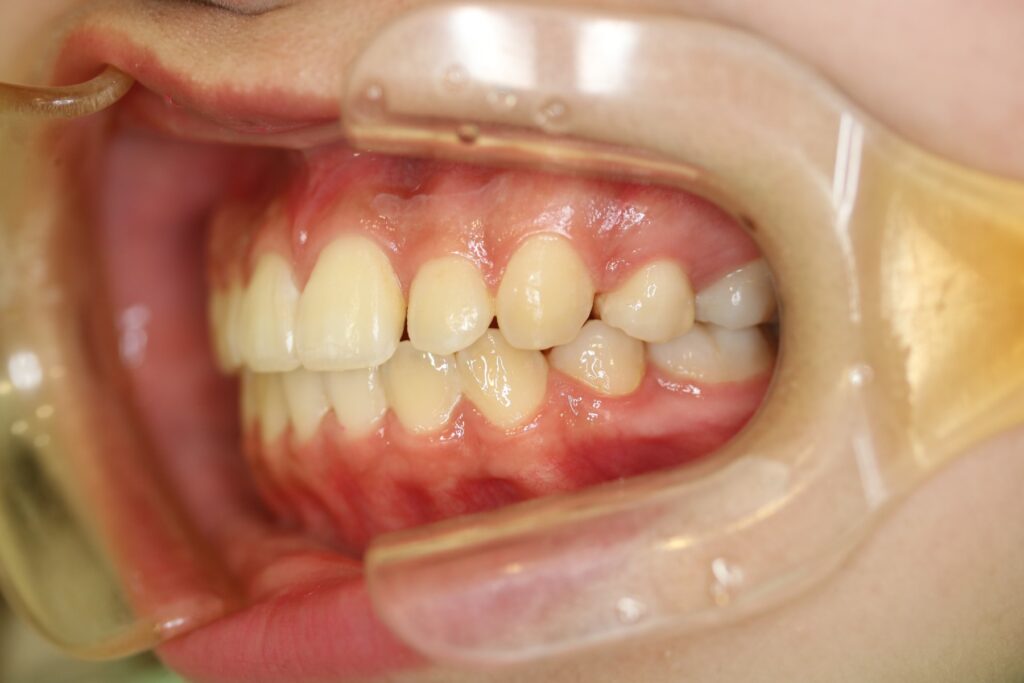
| 1.主訴 | 口元の突出 | |
|---|---|---|
| 2.診断名 | 上下顎前突症・口唇閉鎖機能不全 | |
| 3.初診時年齢 | 17歳7か月 | |
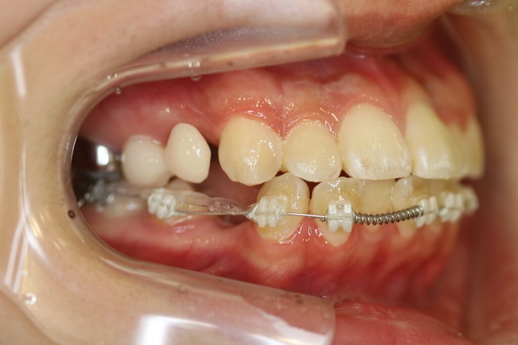
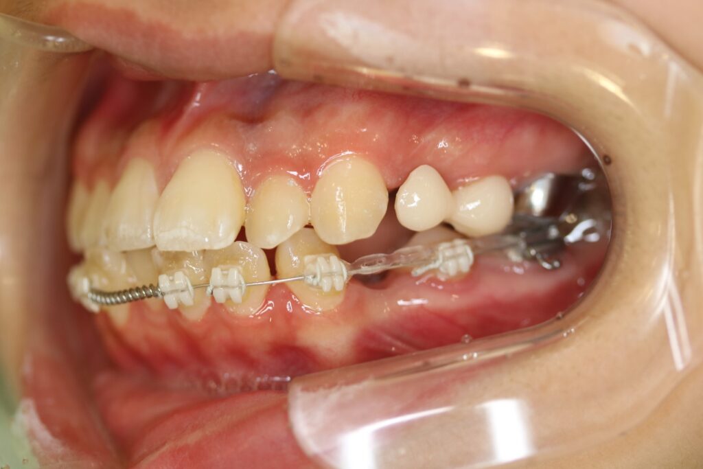
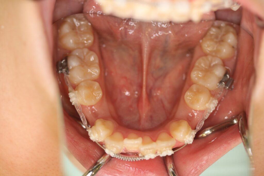
| 4.治療に用いた主な装置とオプション | マルチブラケット装置(上顎:リンガル) | |
| 5.抜歯部位 | 上下顎第一小臼歯 | |
| 6.治療期間・通院回数 | 2年6か月 | |
| 7.総額と費用内訳 | 総額 | 1,174,000円 |
| 相談 | 4,000円 | |
| 検査・診断料 | 65,000円 | |
| マルチブラケット矯正装置 | 1,050,000円 | |
| 調整料 | 4,000円 | |
| 8.リスク・副作用 | 治療中の歯磨きが難しくなったり、歯や頬が痛くなることがあります。リンガルでの治療では当初は喋り難くなります。 |
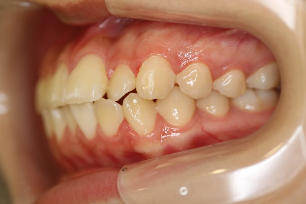
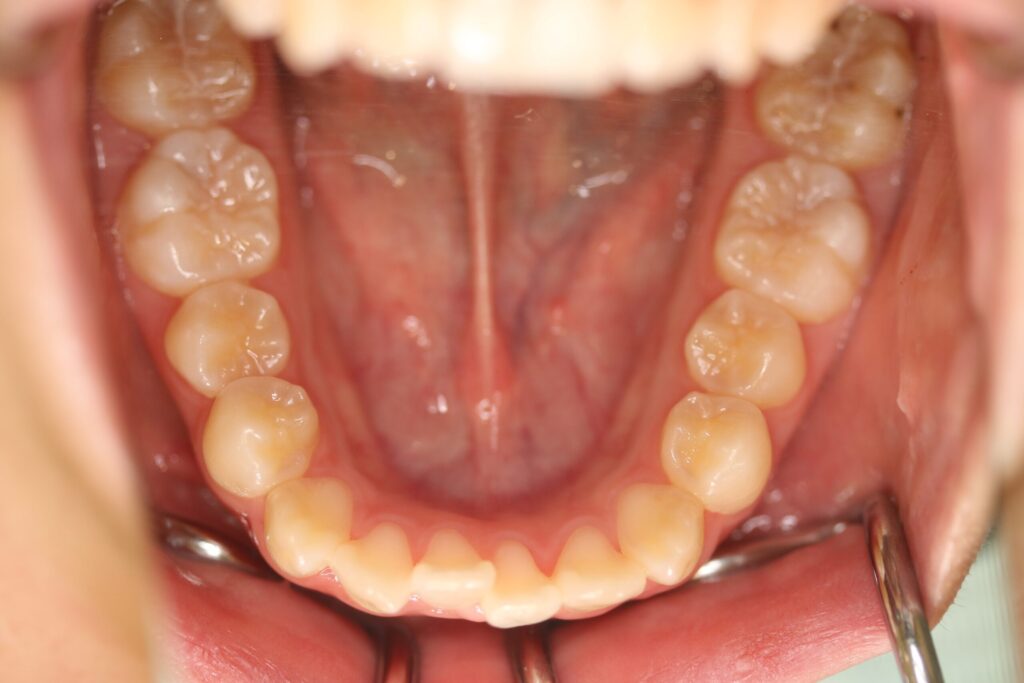
治療前








治療中





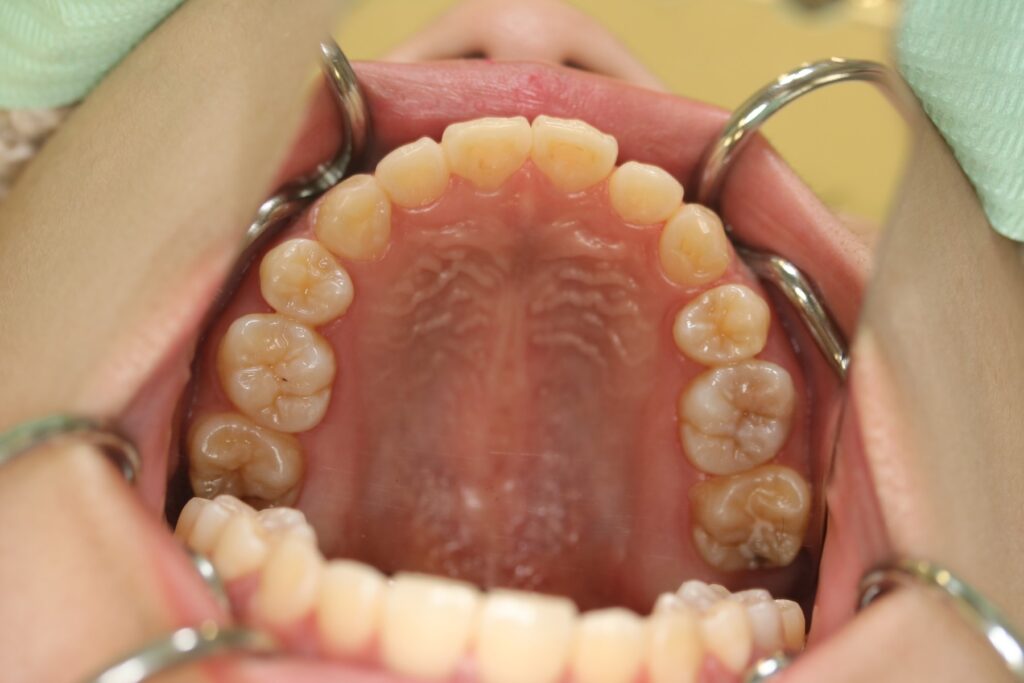
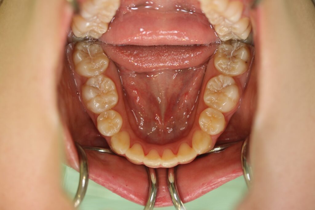
治療後







