自然で美しい、 あなただけの、 ベストスマイルへ。
自然で美しい、 あなただけの、 ベストスマイルへ。
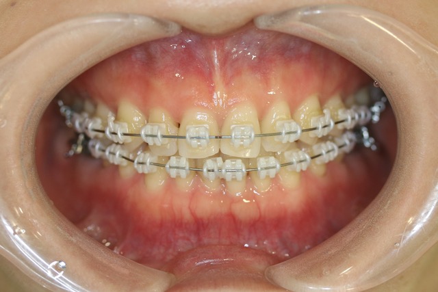
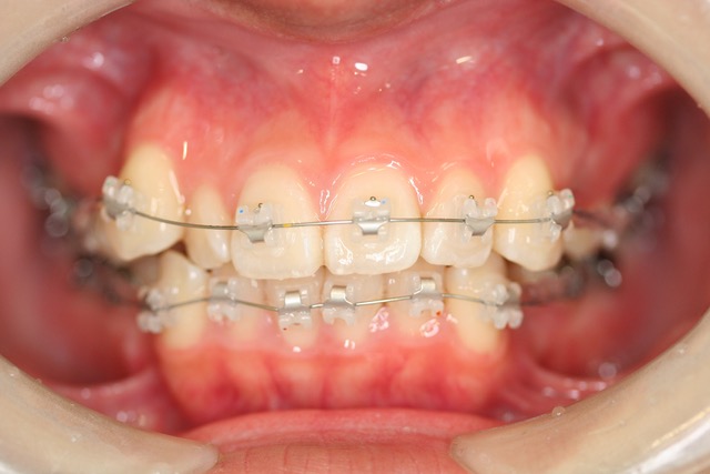
患者様の歯の色に馴染んで、目立ちにくい 素材のブラケットで、壊れにくい装置です。
摩擦を減らし歯が動きやすい、痛みの少ない装置です。
歯の裏側に装置を付ける、見えにくい矯正法です。
透明な装置で歯を整える、目立ちにくい矯正法です。
小さなネジで歯を固定し、効率よく動かす補助装置です。
オフィスホワイトニングでは1時間ほどで、自然な白い歯を手に入れることができます。年齢に関係なく、歯の色をより白くより明るくすることができます。 当クリニックでは3〜4か月ごとに3回行い、白い歯をより長く継続できるようにしております。
日本スポーツ歯科医学会専門医で公認スポーツデンティストが各スポーツの種目(競技)に適切なマウスガートを提供いたします。
骨や歯の位置を立体的に見られる精密な画像診断機器です。
院長 根来武史
Takefumi Negoro DDS.PhD
日本矯正歯科学会 認定医・指導医/博士(歯学)
日本スポーツ歯科医学学会認定医
(公財)日本体育協会公認スポーツデンティスト
<経歴>
1982 愛知学院大学歯学部卒業
1985 愛知学院大学歯学部助手(歯科矯正学講座)
1994 愛知学院大学歯科部講師(歯科矯正講座)
1996-1997
カリフォルニア州立大学サンフランシスコ校勤務(客員講師)
2000 愛知学院大学歯学部付属病院 口唇口蓋裂センター医員
2005 TF栄矯正歯科クリニック開設
<Qualification>
アメリカ矯正歯科学会会員
日本口蓋裂学会会員
日本顎変形症学会会員
日本スポーツ歯科医学学会会員・評議員・認定医長
日本顎関節学会会員
愛知県歯科医師会理事
日本歯科医師会雑誌編集委員
愛知学院大学歯学部同窓会副会長
患者さんの笑顔を見るたびに私たちも元気が出て、
嬉しいので笑顔になります。
一緒に口元美人を目指して頑張っていきましょう。
そして患者さんたちが気持ちよく治療が受けられるよう、
また小さな変化にも気付けるよう努力していますので、
困ったことは不安なことがあればお気軽に声をおかけください。
〒460-0008 名古屋市中区栄2-4-3 TOSHIN 広小路本町ビル6F
TEL/052-219-8588 FAX/052-219-8583〒460-0008 名古屋市中区栄2-4-3 TOSHIN 広小路本町ビル6F
TEL/052-219-8588 FAX/052-219-8583