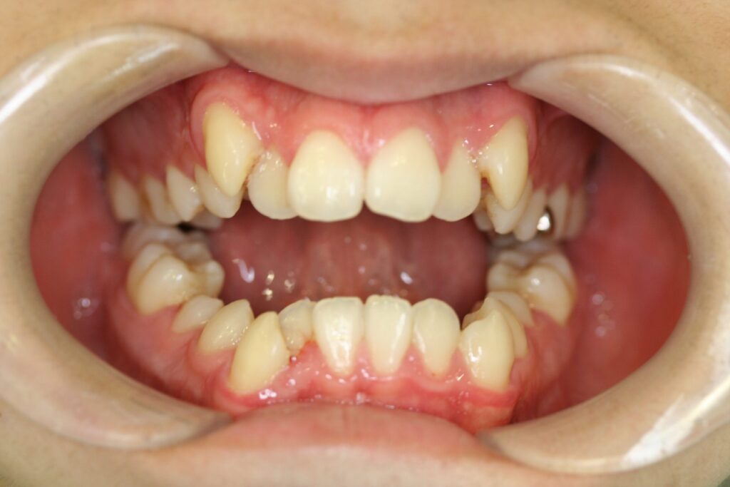
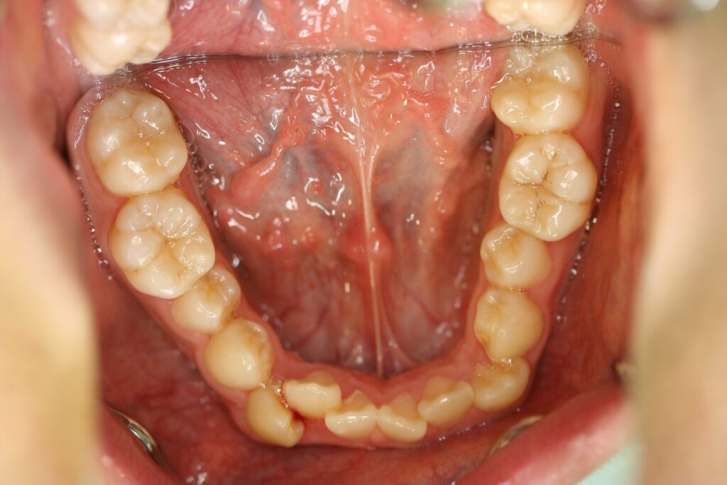
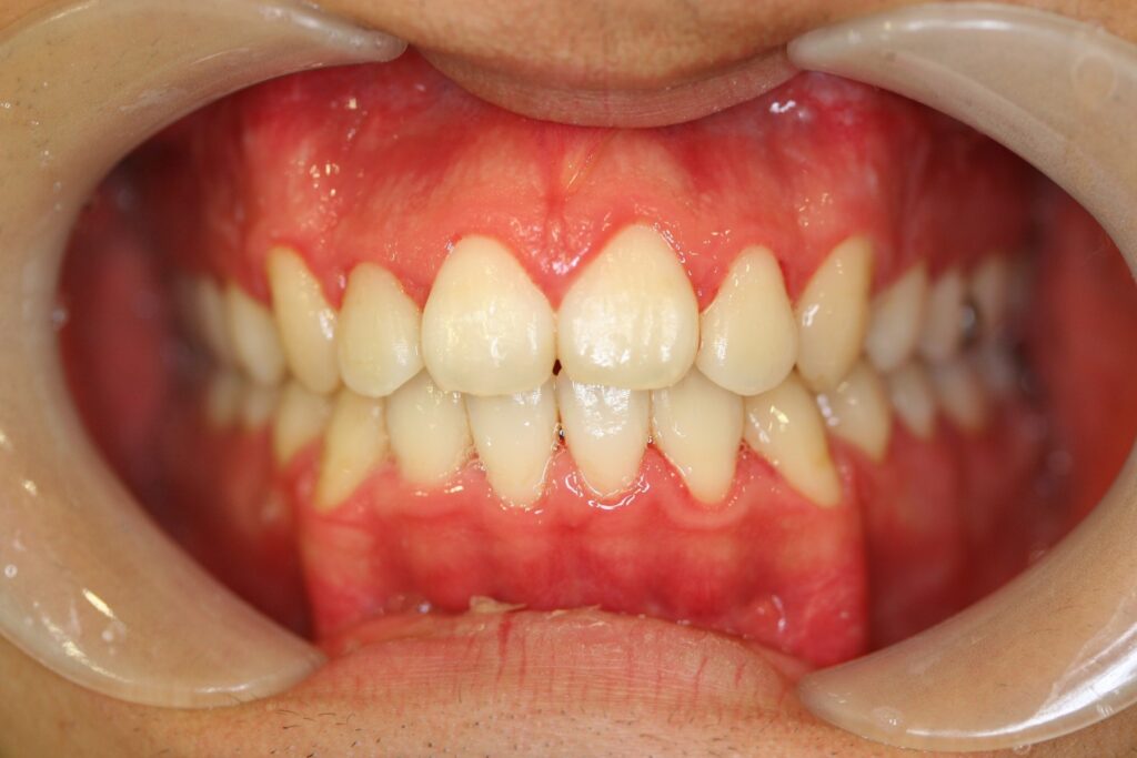
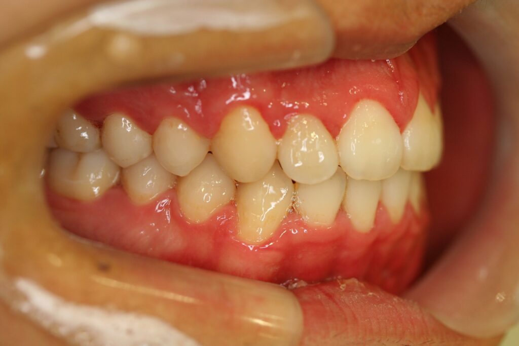
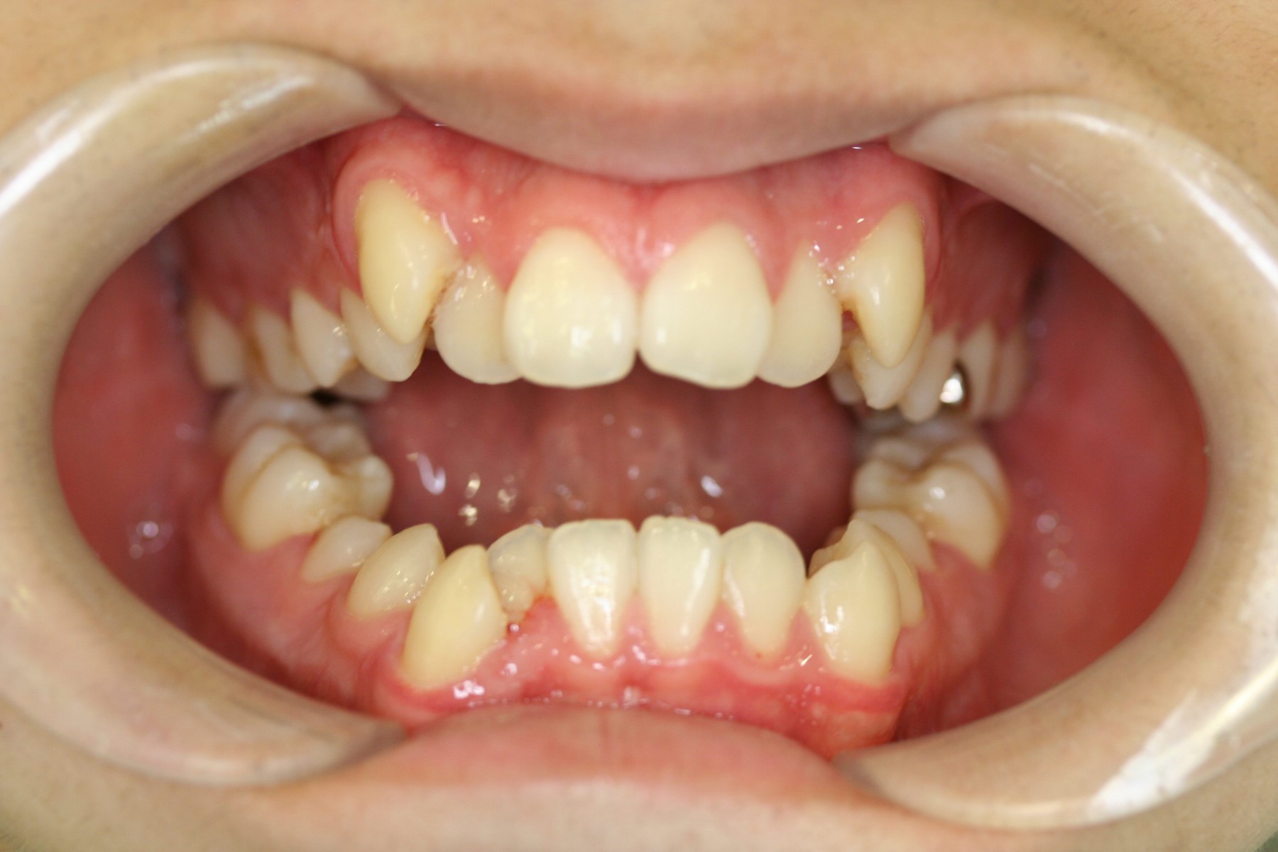
| 1.主訴 | 前歯で物が噛めない | |
|---|---|---|
| 2.診断名 | 開咬・叢生 | |
| 3.初診時年齢 | 19歳 | |
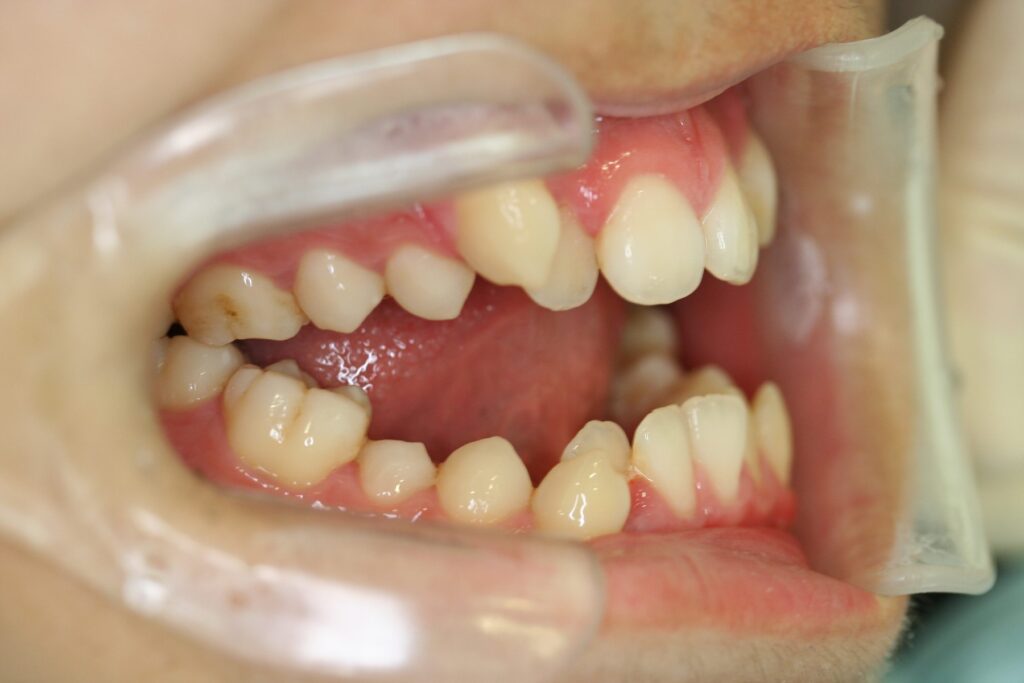
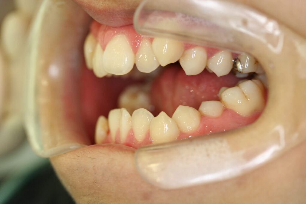
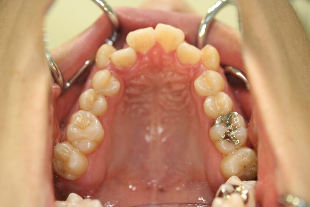
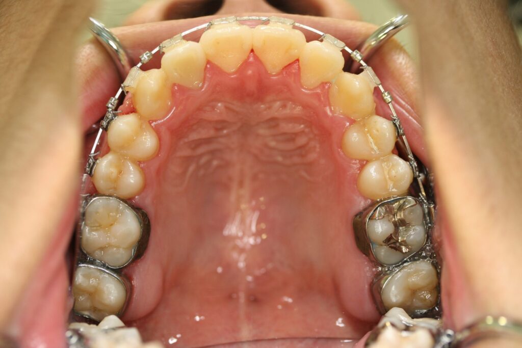
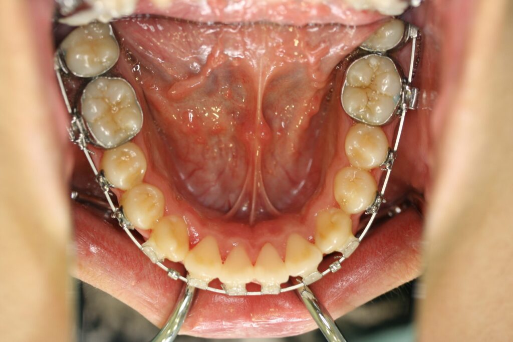
| 4.治療に用いた主な装置とオプション | マルチブラケット装置 | |
| 5.抜歯部位 | 非抜歯(8番は除く) | |
| 6.治療期間・通院回数 | 2年6か月 | |
| 7.総額と費用内訳 | 総額 | 保険診療 |
| 8.リスク・副作用 | 治療中の歯磨きが難しくなったり、歯や頬が痛くなることがあります。リンガルでの治療では当初は喋り難くなります。 |
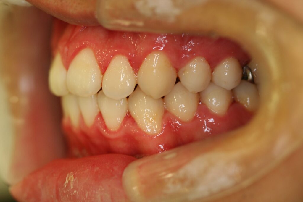
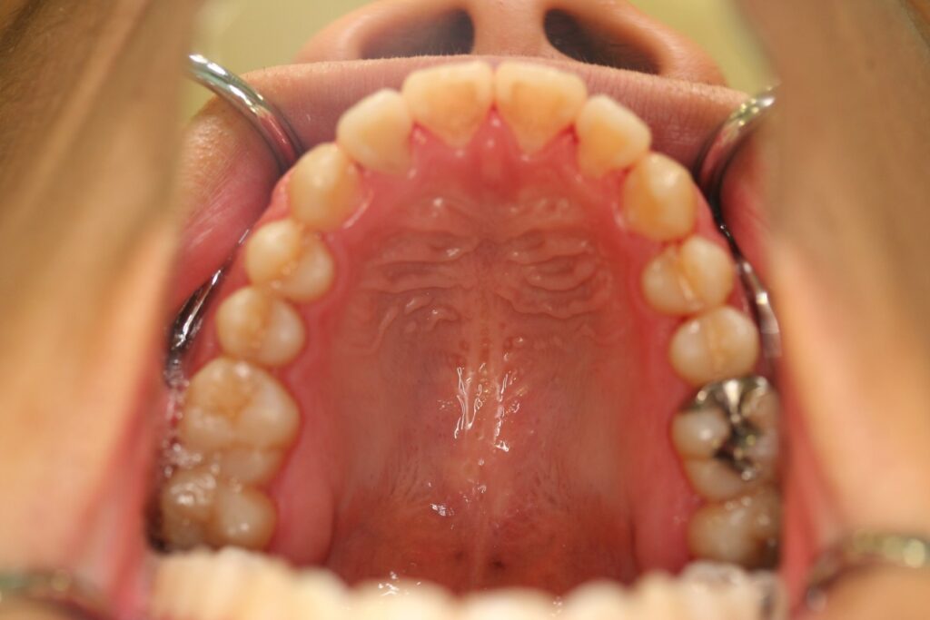
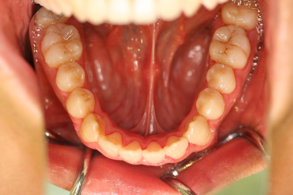
治療前








治療中





治療後







治療実績(症例)
| 1.主訴 | 前歯で物が噛めない | |
|---|---|---|
| 2.診断名 | 開咬・叢生 | |
| 3.初診時年齢 | 19歳 | |
| 4.治療に用いた主な装置とオプション | マルチブラケット装置 | |
| 5.抜歯部位 | 非抜歯(8番は除く) | |
| 6.治療期間・通院回数 | 2年6か月 | |
| 7.総額と費用内訳 | 総額 | 保険診療 |
| 8.リスク・副作用 | 治療中の歯磨きが難しくなったり、歯や頬が痛くなることがあります。リンガルでの治療では当初は喋り難くなります。 |



















